ブログ・活動報告
blog
もりうえ歯科クリニックです。
本日は、当院の人気の治療「インビザライン」の症例写真のご紹介です。
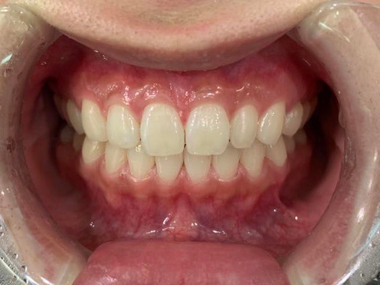
症例写真①
before

↓
after

症例写真②
before

↓
after

当院では、歯並びを治す治療として、「インビザライン」というマウスピースを使った矯正治療、または、「ワイヤー治療」を行っております。
そこで、今回は「インビザライン」についてのお話です。
インビザラインって?
インビザラインとは従来のワイヤー矯正とは違い、透明に近い、目立ちにくいマウスピース型の矯正装置(アライナー)です。
生体力学や3Dデザインなど革新的技術により、緩やかでありながら効果的に歯を適切な位置に移動し、歯並びを整えていきます。
インビザラインのメリット
・インビザラインは取り外し可能なマウスピースのため、治療中でも簡単にお手入れすることができ、ホームケアも簡単に行えるため、口腔内を清潔かつ健康に保つことができます。
・インビザラインのマウスピースは透明に近く、目立ちにくいため歯列矯正中であることが周囲に気づかれにくいです。
・特別な行事がある場合でも、その間はマウスピースを外すことができるため、気軽に華やかな場面に参加することができます。
・革新的なテクノロジーや機能、素材により、装着感が良く、予測実現性にも優れた歯列矯正を行うことができます。
長くなりましたが、矯正に興味がある・矯正が必要なのか医師に診てもらいたい等、気になる事がございましたら、是非お気軽にご相談頂けたらと思います。
それではまた更新致しますので次回もご覧頂けますと幸いです。
もりうえ歯科クリニック 盛植紘太朗